Before & After Smile Gallery
-
Before
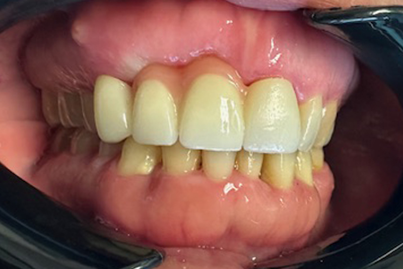
After
Dentures
-
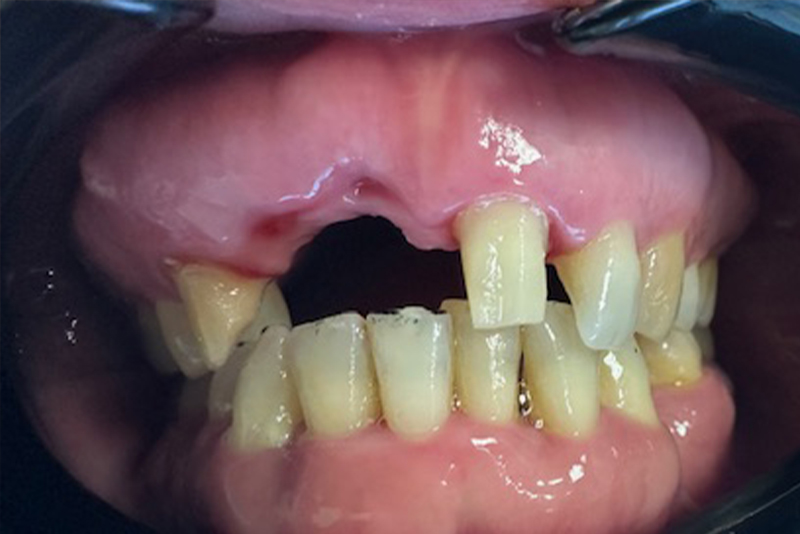
Before
After
Dental Bridge
Rhome Family Dentistry is now accepting new patients. We specialize in general, family and cosmetic dentistry. Visit us and discover compassionate care along with your best smile.
Schedule an Appointment